R.MP (En Ortodoncia Funcional Postural)
|
ORTODONCIA FUNCIONAL POSTURAL
La ortodoncia funcional , es aquella , que no solo alinea los dientes, si no que lo realiza en
equilibrio funcional y global.
Esto quiere decir , que corrige la maloclusión y re equilbria la funcion general del
organismo, integra lo realizado al resto del cuerpo, haciendo que el sistema
estomatognatico y su equilibrio obtenido , sea aceptado por el SISTEMA TONICO
POSTURAL , de esta forma no será un elemento perturbador de la postura estática del
organismo.
Utiliza una biomecanica muy funcional, que mantiene la posicion mandibular y, no altera de
esa forma el resto de los sistemas posturales. Si se combina con la Ortopedia Funcional en
primera fase de terapia en edad de crecimiento no ha realizado.
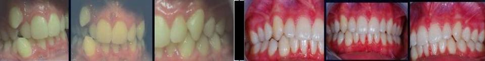
En ortodoncia lo mas importante es el diagnostico y el enfoque terapeutico, hablar de
ortodoncia solo desde el punto de vista de la biomecanica , estamos limitando el problema
a un simple moviento dentario.
El objetivo de la ortodoncia debe ser : alinear los dientes en una posicion mandibular
correcta en equilibrio con el sistema tonico postural, y ese alineamiento debe mantener esa
posicion sin interferencias que perturben la postura estatica.
Para obtener esto debe utilizar una biomecanica muy funcional de fuerzas leves y no
agresivas para que el organismo se adapte poco a poco a los cambios producidos y de esa
forma se integrara el movimiento en el SISTEMA TONICO POSTURAL , sin interferir.







INICIAL