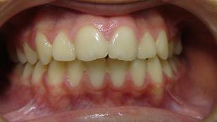
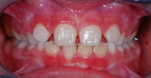
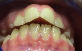
ORTOPEDIA
FUNCIONAL
Dr Silverio Di Rocca
DR SILVERIO DI ROCCA
sito oficial