REHABILATACIÓN OCLUSAL GLOBAL
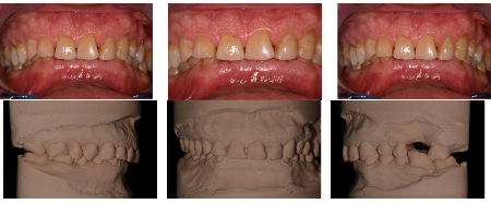
OCLUSIÓN INICIAL  GRAN PERDIDA DE LA
DIMENSIÓN VERTICAL
REGISTRO POSTUROMETRIO Y ESTABILOMETRICO INICIAL
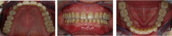
REHABILITACION OCLUSAL GLOBAL FINAL
REGISTRO ESTABILOMETRICO Y POSTUROMETRICO FINAL
Dr Silverio Di Rocca
DR SILVERIO DI ROCCA
sito oficial