DR SILVERIO DI ROCCA
sito ufficiale
POSTUROLOGIA E POSTUROMETRIA
CASI CLINICI
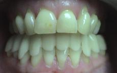
FOTO INIZIALE
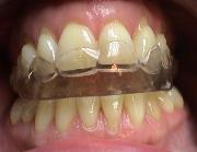
DEPROGRAMMAZIONE
RIPROGRAMMAZIONE
  • vertigini
  • cefalea

Programa terapeútico:
  1. deprogrammazióne
  2. terapia riabilitativa(osteopatía e fsioterapia )
  3. riprogrammazion permanente