DR SILVERIO DI ROCCA
sito ufficiale
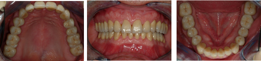
RIABILITAZIONE OCCLUSALE GLOBALE
OCCLUSIONE INIZIALE GRANDE PERDITA DELLA
DIMENZIONE VERTICALE
REGISTRO POSTUROMETRIO E STABILOMETRICO INIZIALE
RIABILITAZIONE  OXCLUSALE GLOBALE FINALE
REGISTRO STABILOMETRICO E POSTUROMETRICO FINALE