DR SILVERIO DI ROCCA
RIABILITAZIONE OCCLUSALE GLOBALE
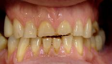
OCCLUSIONE INIZIALE
PROVISORIO FUNZIONALE
PROVA CERAMICA
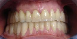
OCCLUSIONE FINALE
POSTUROMETRIA BOCCA APERTA
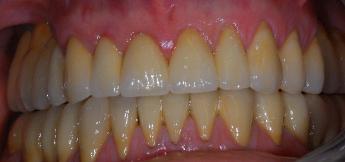
OCCLUSIONE FUNZIONALE
POSTUROMETRIA BOCCA CHIUSA