DR SILVERIO DI ROCCA
sito ufficiale

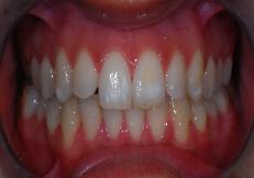
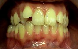
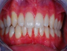
FUNCIONALE